Hyperfluorescence Case #3

ID: 42F

Reason for Referral: Central Scotoma NYD, currently undergoing a job transition (+stress)

Past Ocular History: None

Past Medical History: COPD

Medications: Recent course of oral steroids (ended 2 weeks ago)

Ocular gtts: None

Eye Vitals and Examination:

  • BCVA 20/80 OD, 20/20 OS

  • IOP 16 OD, 15 OS

  • No RAPD, PEARRLA

  • EOM full

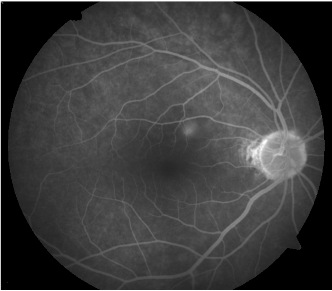
  • Pooling Within a Serous Detachment in Central Serous Retinopathy (CSR)

    Pooling is defined as the accumulation of leaked fluorescein within a defined anatomical space. Once this defined space is filled, the margins in pooling remain constant and distinct throughout the study (unlike full leaking which continues to grow as the scan progresses).

    In CSR, there is a characteristic “ink blot” or “smoke stack” pattern.

Previous
Previous

Hyperfluorescence Case #2

Next
Next

Hyperfluorescence Case #4