Phase 1: The Choroidal Phase (9-15 seconds post-injection)

    • Choroidal filling is seen first due to dye reaching the posterior ciliary artery (PCA) first.

    • The choroid appears "patchy" due to fenestrations in choriocapillaris, allowing dye to enter the extravascular space.

    • RPE overlying the choroid results in reduced choroidal fluorescence. Damage in the RPE layer will cause choroidal hyperfluorescence.

    • Retinal vessels will remain dark in this phase.

10 seconds

Phase 2: The Arterial Phase (1-3 seconds post-choroidal phase)

    • Retinal arteries fluoresce brightly, with peripapillary arteries appearing first.

    • Retinal vessel endothelium contain tight junctions, preventing dye extravasation unless disease is present.

    • Background choroidal fluorescence will still be seen

    • Veins remain dark.

    • Note: This photo was taken from a different IVFA, with a different vasculature pattern from subsequent photos.

13 seconds

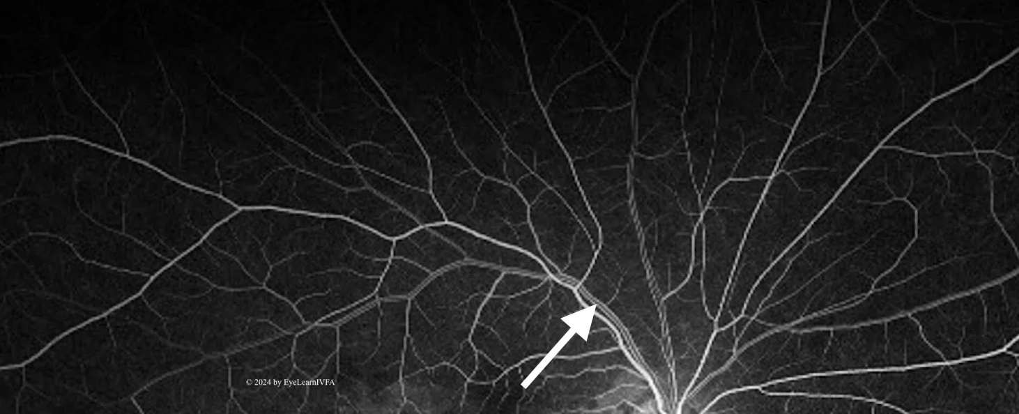
Phase 3: The Early Arteriovenous Phase (1-2 seconds post-arterial phase)

    • Veins begin filling in this phase.

    • Look for laminar and trilaminar venous flow.

Arrow: Demonstrates Laminar Flow

It occurs when the vein walls appearing more fluorescent than the centre.

Laminar flow occurs due to protein-bound fluorescein being pushed to the vessel periphery, while slower RBCs flow through the centre of the vessel.

At the junction of 2 veins, inner lamina of the veins merge - creating trilaminar flow.

20 seconds

Phase 4: The Late Arteriovenous Phase (20-25 seconds post-injection)

    • Dye completely fills the vein.

    • Best for visualizing the perifoveal capillary network.

    • The fovea will to continue to hypofluoresence because of the foveal avascular zone (absence of blood vessels).

    • The fovea also remains dark because choroidal fluorescence is blocked by increased pigment in the tall macular RPE cells.

25 seconds

Phase 5: The Late Phase (up to 10 minutes post-injection, usually around 5 minutes post-injection)

    • By 10 minutes after injection, the retinal vessels are usually empty.

    • The disc usually remains hyperfluorescent.

    • The background has a diffuse fluorescence due to staining of Bruch's membrane, choroid and sclera.

3 min