What Causes Hypofluorescence?


Pattern #1: Blocked Fluorescence

Reduced visibility of underlying retinal or choroidal circulation due to a barrier located anterior to that circulation. Common causes of blocked fluorescence include heme, scar tissue and hyperpigmentation. The blocking material should become apparent when comparing the IVFA scan with a colour or red-free photo.

What are causes of blocked retinal fluorescence?

  • Anterior segment material

  • Vitreous material

  • Inner retinal material

What are causes of blocked choroidal fluorescence?

  • Subretinal Material

  • Deep Retinal Material

  • Material that blocks retinal fluorescence may also subsequently block choroidal fluorescence.

  • A large subhyaloid hemorrhage in the inferior macula, resulting in blockage of both retinal and choroidal fluorescence.

    There is also a subretinal hemorrhage along the superotemporal arcade. Note how only choroidal fluorescence is blocked, with overlying retinal vessels still visible due to the location of the bleed.

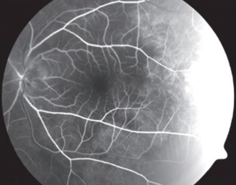
Pattern #2: Filling Defect

  • A branch retinal vein occlusion resulting in areas of non-filling of the retinal vessels.


A filling defect causes hypofluorescence due to reduced perfusion - meaning less fluorescein is reaching the vasculature. If there is a complete absence of perfusion, the hypofluorescence will persist throughout the whole angiogram. If there is only partially reduced perfusion, there will be delayed filling.

What causes a vascular filling defect in the retina?

  • Arterial Defect

  • Venous Defect

  • Capillary Bed Defect

  • Combination Defect

What causes a disc vascular filling defect?

  • Optic pit and coloboma

  • Vascular occlusion around the optic disc

  • Optic atrophy

  • Posterior ciliary artery occlusion resulting in choroidal hypofluorescence in the impacted segments.

What causes a choroidal vascular filling defect?

  • Physiological

  • Posterior ciliary artery obstruction or carotid obstruction

  • Absence of choroidal vascular tissue